Home
News
Editorial
MD(e)B(unker)
Related Researches
Di Bella's Foundation
1960-1969
1970-1979
1980-1989
1990-1999
2000-2009
2010-2019
2020-2029
Science news
Scientific Documentation
About us...
Biography
Bibliography
The Method
Di Bella's Method!
1998 Trial!
Media
Video Publications
News-Papers
Press
Testimonial
Testimonies
Video Gallery
Congresses
Video Testimonies
TV & C.
Case History
Lung
Lymphomas
Non-Hodgkin Lymphomas
Hodgkin Lymphomas
Mediastinum
Mesothelioma
Myeloma
Pancreas
Scientific Publications
F.A.Q.
Useful Links
User Side
Vademecum
CouponChief - Resources for Cancer Patients
Contact Us
Home page
Media
Video Gallery
News
Scientific-Documentation
Medical Report
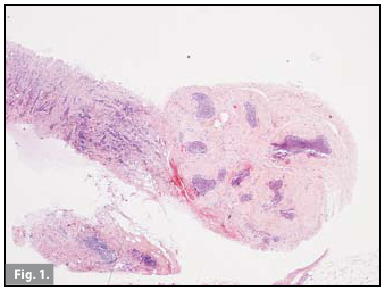
Histological fi...
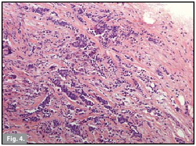
Histological fi...
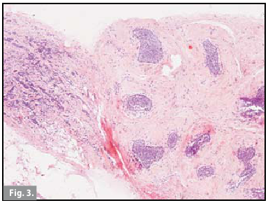
Histological fi...
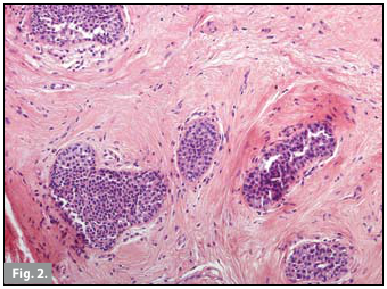
Histological fi...
Mammogram 1
Mammogram 2
Ultrasound scan...
Ultrasound scan...
Ultrasound scan...
Scintigraphy
PET
Mammogram 3
Mammogram 4
Ultrasound scan...
Ultrasound scan...
Ordering
Ordering Ascending
Ordering Descending
Title Ascending
Title Descending
Date Ascending
Date Descending
Rating Count Ascending
Rating Count Descending
Rating Ascending
Rating Descending
Hits Ascending
Hits Descending
Display Num
5
10
15
20
50
All
Powered by
Phoca Gallery
Search
Follow us...
Latest
Melatonin Overcomes Cancer Multidrug Resistance by Downregulating ABCB1 Expression and Modulating Mitochondrial Function
Melatonin as an anti-inflammatory agent in radiotherapy
The melatonin immunomodulatory actions in radiotherapy
Radioprotective effect of endogenous melatonin secretion associated with the circadian rhythm in irradiated rats
Melatonin as an adjuvant in radiotherapy for radioprotection and radiosensitization
Clinical Applications of Melatonin in Radiotherapy: a Review
Melatonin Modulation of Radiation and Chemotherapeutics-induced Changes on Differentiation of Breast Fibroblasts
Modulating effects of famotidine and melatonin on high dose radiation induced cell lethality in normal human and cancer cell lines
Impact of Cholecalciferol Supplementation on Radiotherapy Outcomes in Advanced Cervical Cancer
Melatonin enhancement of the radiosensitivity of human breast cancer cells is associated with the modulation of proteins involved in estrogen biosynthesis
Modulation of Radiation-induced Base Excision Repair Pathway Gene Expression by Melatonin
Radioprotective and Radiomitigative Effects of Melatonin in Tissues with Different Proliferative Activity
Anti-apoptotic and antioxidant effects of melatonin protect spleen of whole body γ-irradiated male Sprague-dawley rats
Melatonin can Ameliorate Radiation-Induced Oxidative Stress and Inflammation-Related Deterioration of Bone Quality in Rat Femur
Amifostine and melatonin attenuate radiation-induced oxidative stress, inflammation, and fibrotic remodeling in the vocal folds and subglottic glands of rats
Melatonin and Vitamins: A Promising Combination to Augment Conventional Anticancer Therapies
Targeted radionuclide therapy for gliomas: Emerging clinical trial landscape
Retinoic acid receptor beta mediates the growth-inhibitory effect of retinoic acid by promoting apoptosis in human breast cancer cells
Most Read
The Di Bella Method (DBM)
About melatonin - 1996
All-trans-retinoic acid and cancer
Biography
The Di Bella Method Increases by the 30% the survival rate for Pancreas tumors and for this reason should be proposed as first line therapy for this type of cancer
Chronic Lymphocytic Leukemia: 4 patients, long-lasting remission
Somatostatin in oncology, the overlooked evidences
Bibliography
Large B-cells Non-Hodgkin's Lymphoma, Stage IV-AE: a Case Report
How effective is chemo therapy?
Treatment of Low-grade Non-Hodgkin’s Lymphomas at Advanced Stage
Complete objective response to biological therapy of plurifocal breast carcinoma
Non-Hodgkin's Lymphoma, Stage III-B-E: a Case Report
Vademecum
Frequently Asked Questions
Declaration recommends eliminate the use of Impact factor for research evaluation
Non–Small-Cell Lung Cancer Patients with Low Performance Status: study on 28 patients
Breast cancer: study on 122 cases. The Di Bella Method (DBM) improved survival, objective response and performance status in a retrospective observational clinical study on 122 cases of breast cancer