Home
News
Editorial
MD(e)B(unker)
Related Researches
Di Bella's Foundation
1960-1969
1970-1979
1980-1989
1990-1999
2000-2009
2010-2019
2020-2029
Science news
Scientific Documentation
About us...
Biography
Bibliography
The Method
Di Bella's Method!
1998 Trial!
Media
Video Publications
News-Papers
Press
Testimonial
Testimonies
Video Gallery
Congresses
Video Testimonies
TV & C.
Case History
Lung
Lymphomas
Non-Hodgkin Lymphomas
Hodgkin Lymphomas
Mediastinum
Mesothelioma
Myeloma
Pancreas
Scientific Publications
F.A.Q.
Useful Links
User Side
Vademecum
CouponChief - Resources for Cancer Patients
Contact Us
Home page
Media
Video Gallery
Medical reports
Complete objective response of neuroblastoma to biological treatment.
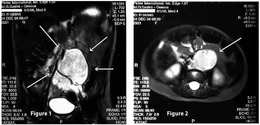
Figure1
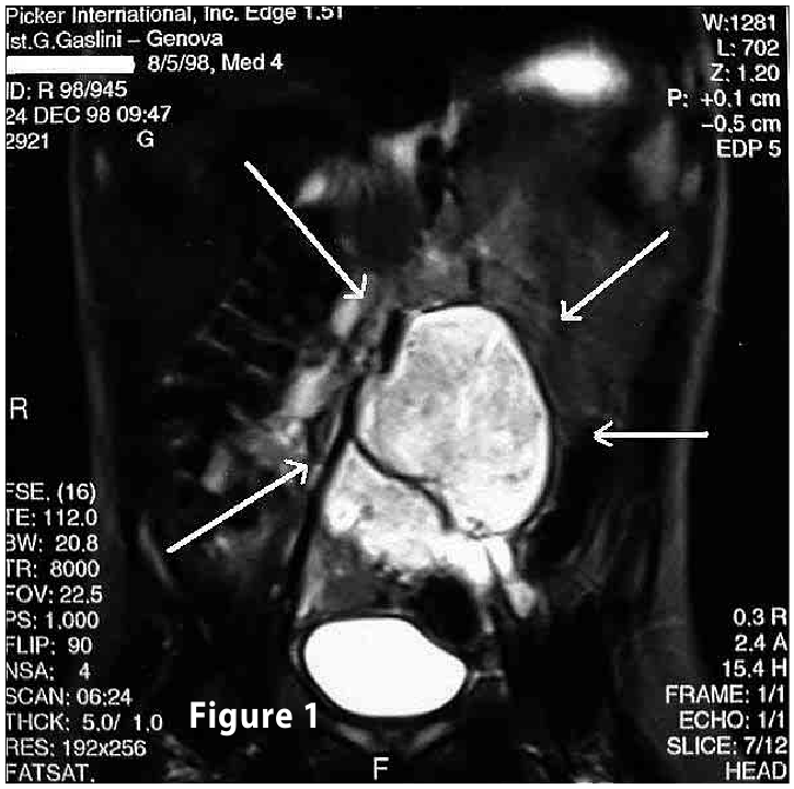
Figure2
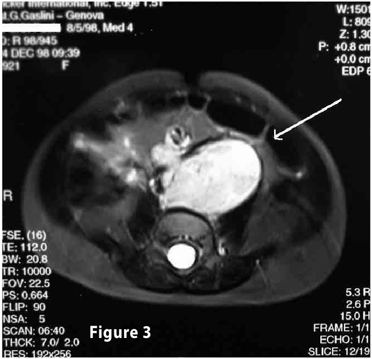
Figure3
Figure4
Figure1-2
Figure3-4
Figure1-2-3-4
Figure5
Hem-Chem-Val
Figure6
Figure7
Figure8
Figure9
Figure6-7
Figure8-9
Figure6-7-8-9
Figure10
Figure11
Figure12
Figure13
Ordering
Ordering Ascending
Ordering Descending
Title Ascending
Title Descending
Date Ascending
Date Descending
Rating Count Ascending
Rating Count Descending
Rating Ascending
Rating Descending
Hits Ascending
Hits Descending
Display Num
5
10
15
20
50
All
Page 1 of 2
Powered by
Phoca Gallery
Search
Follow us...
Latest
Antioxidant properties of melatonin and its potential action in diseases
Retinoic acid enhances γδ T cell cytotoxicity in nasopharyngeal carcinoma by reversing immune exhaustion
Single-cell transcriptomic analysis reveals circadian rhythm disruption associated with poor prognosis and drug-resistance in lung adenocarcinoma
Identification and Functional Validation of PTH2R as a Therapeutic Target in Lung Adenocarcinoma
Melatonin inhibits fibroblast cell functions and hypertrophic scar formation by enhancing autophagy through the MT2 receptor-inhibited PI3K/Akt /mTOR signaling
Tumor-associated macrophages facilitate oral squamous cell carcinomas migration and invasion by MIF/NLRP3/IL-1β circuit: A crosstalk interrupted by melatonin
Extracellular Matrix in Synthetic Hydrogel-Based Prostate Cancer Organoids Regulate Therapeutic Response to EZH2 and DRD2 Inhibitors
Impaired vitamin D signaling reveals neutrophils as key drivers of prostate cancer dissemination
Melatonin attenuates bone cancer pain via the SIRT1/HMGB1 pathway
Pretreatment with melatonin protects against cyclophosphamide-induced oxidative stress and renal damage in mice
Melatonin Pharmacological Blood Levels Increase Total Antioxidant Capacity in Critically Ill Patients
A Review of Biological and Pharmacological Actions of Melatonin: Oxidant and Prooxidant Properties
Melatonin as Antioxidant Under Pathological Processes
Pharmacological utility of melatonin in reducing oxidative cellular and molecular damage
Melatonin as antioxidant, geroprotector and anticarcinogen
The potential therapeutic effects of melatonin on breast cancer: An invasion and metastasis inhibitor
Does the use of melatonin overcome drug resistance in cancer chemotherapy?
Melatonin and cancer: From the promotion of genomic stability to use in cancer treatment
Most Read
The Di Bella Method (DBM)
About melatonin - 1996
All-trans-retinoic acid and cancer
Biography
The Di Bella Method Increases by the 30% the survival rate for Pancreas tumors and for this reason should be proposed as first line therapy for this type of cancer
Chronic Lymphocytic Leukemia: 4 patients, long-lasting remission
Somatostatin in oncology, the overlooked evidences
Treatment of Low-grade Non-Hodgkin’s Lymphomas at Advanced Stage
How effective is chemo therapy?
Bibliography
Complete objective response to biological therapy of plurifocal breast carcinoma
Large B-cells Non-Hodgkin's Lymphoma, Stage IV-AE: a Case Report
Non-Hodgkin's Lymphoma, Stage III-B-E: a Case Report
Vademecum
Frequently Asked Questions
Declaration recommends eliminate the use of Impact factor for research evaluation
Non–Small-Cell Lung Cancer Patients with Low Performance Status: study on 28 patients
Breast cancer: study on 122 cases. The Di Bella Method (DBM) improved survival, objective response and performance status in a retrospective observational clinical study on 122 cases of breast cancer